Cele mai ciudate lucruri pe care medicii le-au găsit în fundul pacienților

Cele mai ciudate lucruri pe care medicii le-au găsit în fundul pacienților
Redactor Divahair.ro
Joi, 26.04.2018

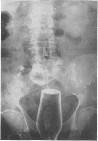
Poate ai văzut și tu la televizor cazul studentei care a rămas cu un vibrator în posterior sau cel al bărbatului care și-a băgat un ciocan în fund pentru a... sparge sâmburii de la cireșe. Deși ni se pare incredibil, există multe cazuri de acest gen, în care anumite persoane s-au prezentat la Urgențe cu diferite obiecte blocate în partea dorsală.

Medicii se confruntă cu multe cazuri de acest gen. Printre cele mai ciudate lucrurile pe care medicii le-au găsit în fundul pacienților se numără diferite jucării, becuri, legume, sticle și deodorante. Ești curioasă ce au mai găsit doctorii în interiorul pacienților la radiografii? Vezi în galeria de mai sus!

Vezi galeria foto » Vibrator Borcan de cafea cu ace în capac
Vezi si
Nt proBNP: ce este și când se recomandă
Nt proBNP: ce este și când se recomandă
Raluca Margean | Joi, 26.04.2018
Sindromul Amok: cauze, simptome și tratament
Sindromul Amok: cauze, simptome și tratament
Raluca Margean | Joi, 26.04.2018

Surse foto: Imgur

Articolul urmator »
Aclorhidrie sau absența acidului gastric: ce este și cum o tratezi
Aclorhidrie sau absența acidului gastric: ce este și cum o tratezi
Raluca Margean | Sâmbătă, 29.11.2025
Incepe quiz
Cel mai greu test! Nimeni nu raspunde corect la toate cele 10 intrebari
Cel mai greu test! Nimeni nu raspunde corect la toate cele 10 intrebari

Cum ti s-a parut articolul? Voteaza!

0 (0)
Alte subiecte care te-ar putea interesa
Abces parafaringian: cauze, simptome și tratament
Raluca Margean | Duminică, 27.04.2025
3 beneficii pe care le are arnica
Raluca Margean | Duminică, 31.08.2025

Ne găsești pe