Fractura - simptome, diagnostic, tratament
Cuprins
Fracturile se produc pe neasteptate, fara a ocoli pe nimeni iar frecventa lor creste mai ales iarna. Fracturile sunt definite ca o intrerupere a continuitatii unui os rezultata in urma unui traumatism sau a unei suprasolicitari.
Cauzele fracturilor
Fracturile prezinta mai multe mecanisme de producere:
- fracturi ale oaselor sanatoase care apar frecvent in urma unui traumatism important;
- fracturi ale oaselor bolnave care apar datorita scaderii rezistentei osului;
- fracturile de oboseala care apar atunci cand osul este supus unor incarcari mecanice repetate;
Fracturile produc in primul rand leziuni osoase, dar pe langa acesta leziune o fractura poate sa mai determine: leziuni ale partilor moi, raspuns inflamator local si reactie sistemica ce apare ca raspuns al organismului la agresiune.
Leziunile osoase sunt caracterizate de: sediul fracturii, traiectul fracturii si deplasarea fragmentelor care au fost fracturate.
Pentru a putea intelege cum se defineste sediul unei fracturi trebuie sa stim ca un os lung prezinta diafiza (corpul), 2 epifize (capetele), 2 metafize (acea parte dintre epifiza si diafiza). Cunoasterea sediului unei fracturi este importanta pentru diagnostic, prognostic si pentru tratament.
Un alt mod de caracterizare a fracturilor este acea functie de deplasare, astfel fracturile pot fi: cu deplasare sau fara deplasare. Daca apare deplasarea aceasta poate fi cu: angulatie, deplasare laterala, incalecare, rotatie sau indepartare a suprafetelor fracturate.
Fracturile pot fi:
- stabile: fracturile transversale, oblic scurte;
- instabile: fracturile oblic lungi, spiroide, cominutive, bifocale;
- deschise: lezarea importanta a partilor moi, un fragment osos proiemina la exterior.
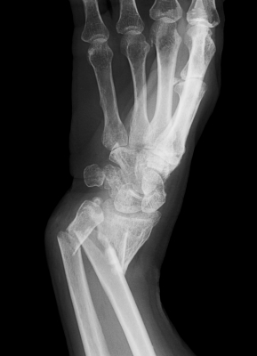
Leziunile partilor moi pot afecta: periostul- fracturile pot produce rupturi sau dezlipiri periostice, muschii, fasciile, tendoanele, vasele si nervii Diagnosticul fracturilorMedicul va incepe examinarea prin efectuarea anamnezei si apoi a examenul local. Anamneza pacientilor cu fracturi va preciza: circumstantele in care s-a produs accidentul si ora producerii traumatismului. Examenul local: se va efectua in ortostatism (in picioare) pentru membrul superior si decubit dorsal (culcat) pentru membrul inferior si coloana. Medicul va aprecia si starea vascularizatiei si a inervatiei distal de focarul de fractura. |
![]() |
Investigatiile ce pot fi efectuate pentru a stabili diagnosticul sunt:
- radiografia standard: permite in majoritatea cazurilor stabilirea unui diagnostic exact. Aceasta se efectueaza in doua incidente care vor avea intre ele un unghi de 90? (fata si profil). In unele cazuri pot fi necesare efectuarea unor radiografii cu incidente speciale;
- tomografia computerizata: este recomandata in cazul fracturilor a carui traiect de fractura este greu de apreciat pe radiografiile standard;
- rezonanta magnetica nucleara: este utila mai ales in cazul fracturilor coloanei, genunchiului;
- examinarea cu radioizotopi: este folosita in diagnosticul fracturilor de oboseala sau a fracturilor fara deplasare.
Simptomele fracturilor
Semnele si simptomele prezente in cazul unei fracturi pot fi:
- durere acuta, care este exacerbata de mobilizare;
- impotenta functionala (adica pierdere totala sau par?iala a functiilor unui membru afectat) relativa in cazul fracturilor incomplete si totala in fracturile deplasate;
- indispozitie generala, insotita de o usoara neliniste;
- "febra traumatica" este o stare subfebrila ce poate sa apara la 24-48 de ore de la traumatism si dispare in 3-7 zile;
- in cazul traumatismelor de mare intensitate poate sa apara socul traumatic, socul hemoragic;
- deformarea regiunii;
- scurtarea membrului afectat;
- echimoza tardiva;
- mobilitate anormala dintre fragmentele osoase;
- netransmibilitatea miscarilor;
- crepitatie osoasa;
In fracturile oaselor mari - cum ar fi femurul- se poate sa se acumuleze la nivelul focarului de fractura o cantitate mare de sange, uneori se poate acumula si peste un litru de sange.
Tratamentul fracturilor
Primul ajutor la locul accidentului consta in:
- degajarea corecta a bolnavului cu evitarea unor miscari care pot determina complicatii: evitarea flexiei in traumatismele coloanei verebrale;
- reducerea aproximativa a anatomiei regiunii prin tractiune in ax;
- imobilizare provizorie, se utilizeaza in acest scop mijloacele avute la indemana.
Primul ajutor acordat de persoane specializate va urmari:
- administrarea unui calmant;
- reducerea aproximativa prin tractiunea in ax;
- imobilizare provizorie corecta a fracturii;
- toaleta primara a plagii si pansament in cazul fracturilor deschise;
- seroprofilaxie antitetanica (fracturilor deschise);
- garou in cazul leziunilor vasculare ce pun in pericol viata (ora aplicarii garoului trebuie mentionata pe biletul de trimitere).
Transportul bolnavilor se face: in pozitie sezanda pentru fracturile membrului superior sau pe targa pentru fracturile coloanei sau membrului inferior.
Pentru tratamentul fracturilor se poate opta pentru tratamentul conservator sau pentru tratamentul chirurgical. Tratamentul conservator permite optarea pentru metoda ortopedica pura sau metoda extensiei continue. Metodele sunt alese functie de caracteristicile fracturilor. Metoda extensiei continue se foloseste in fracturile instabile,cu ajutorul unui sistem special,iar reducerea se va obtine in timp. Tratamentul chirurgical are ca scop restabilirea continuitatii osului care a fost fracturat,pe care il va fixa cu ajutorul unor implante metalice .Este indicat tratamentul chirurgical in cazul fracturilor:ireductibile, intraarticulare, celor asociate cu leziuni vasculare, celor ce apar pe os bolnav.
Important!
- primul ajutor in cazul unei fracturi este foarte important si trebuie acordat corect
- aveti grija la aportul zilnic de calciu si minerale pentru a avea oase puternice
- alegeti-va incaltamintea potrivita anotimpului
Bibliografie:
Ortopedie traumatologica:Ghid de diagnostic si tratament-O.Alexa
Ortopedie-Paul Botez
