Monturile - tot ce trebuie sa stii despre ele
De
Masha Florea
Miercuri, 27.03.2013
Cuprins
- Ce sunt monturile?
- Cum evolueaza monturile?
- Cauzele aparitiei monturilor
- Evolutia monturilor fara tratament
- Tratamentul monturilor
- Remedii naturiste pentru monturi
- Cum previi aparitia monturilor
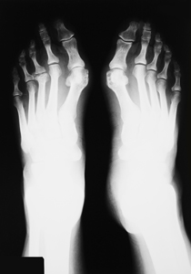
Odata cu aparitia pantofilor cu toc si a cresterii incidentei obezitatii, din ce in ce mai multe persoane au inceput sa observe formarea monturilor. Afla ce sunt monturile si cum le poti preveni sau trata.Ce sunt monturile?Monturile reprezinta deplasarea primului metatarsian spre interiorul piciorului, devenind proeminent, in timp ce degetul mare se deplaseaza catre lateral, cu deformarile aferente. Acest tip de deformari pot aparea si la nivelul celorlalte degete, in special la degetul mic. |
![]() |
Cum evolueaza monturile?
Pe langa deformarea inestetica, articulatia metatarso-falangiana poate deveni dureroasa, in special in timpul mersului, se poate mari in volum, poate fi inrosita, iar pielea adiacenta poate fi iritata sau poate prezenta bataturi, din cauza contactului neobisnuit cu incaltamintea.
In stadiile incipiente, insa, montul poate sa fie asimptomatic, singura cauza de nemultumire fiind aspectul neplacut, care poate determina o femeie sa mearga la medicul ortoped.
In cazurile severe, activitatile zilnice pot fi limitate din cauza disconfortului, motiv pentru care monturile nu ar trebui ignorate, ci tratate.
Cauzele aparitiei monturilor
Cele mai frecvente cauze care determina aparitia acestor modificari la nivelul picioarelor se refera la incaltamintea prost conceputa. Pantofii prea stramti, care modifica aliniamentul degetelor in mod repetat, sau pantofii cu toc inalt, purtati foarte des, pot duce in timp la modificari ale articulatiilor piciorului.

De asemenea, si miscarile anormale ale piciorului, de exemplu pronatia excesiva a acestuia, in afectiunea numita „picior plat".
Afectiunile inflamatorii ale articulatiilor piciorului, artritele de diferite cauze, gutoasa, psoriazica, reumatoida, pot avea ca si complicatie aparitia deformarilor de acest fel.
Monturile pot fi intalnite si in urma proceselor traumatice la nivelul piciorului, dar si a hiperlaxitatii ligamentare si deformarilor structurale.
Evolutia monturilor fara tratament
Exista 2 tipuri majore, care determina evolutia monturilor: tipul juvenil, aparut la varsta adolescentei, evolueaza lent si va deveni dureros in jurul varstei de 40 de ani, in timp ce tipul static, ce apare dupa menopauza, duce rapid la aparitia unor deformari majore ale piciorului.
Tratamentul monturilor
Cu siguranta, cel mai eficient tratament este cel chirurgical. Ortopedul va decide, dupa un examen fizic atent, completat cu un examen imagistic, in functie de severitatea afectiunii, ce metoda chirurgicala trebuie aleasa. Cel mai frecvent este aleasa osteotomia, adica extirparea unui fragment de os de la nivelul articulatiei afectate, si refacerea aliniamentului articulatiei. O astfel de interventie chirurgicala necesita un timp de recuperare de 6 pana la 12 saptamani.
In cazul monturilor ce nu prezinta deformare articulara, ci doar protruzia primului metatarsian spre interior, se poate practica o procedura prin care capul acestui os este subtiat, astfel incat sa nu mai fie proeminent si sa usureze simptomatologia.
Daca tratamentul chirurgical este refuzat, sau daca nu este necesar, se recomanda folosirea unei orteze special concepute pentru a corecta pozitia anormala a piciorului si pentru a scadea presiunea la nivelul articulatiei metatarso-falangiene. In cazurile usoare, se pot folosi pernute care pot ameliora presiunile la nivelul talpii si simptomatologia dureroasa.

Se mai prescriu antiinflamatoare nesteroidiene si analgezice pentru controlul durerii sau inflamatiei. Sunt contraindicate infiltratiile cortizonice in articulatia afectata.
Remedii naturiste pentru monturi
Desi la nivelul montului, prin contactul cu incaltamintea, se formeaza o batatura, este important ca aceasta sa nu fie confundata cu veruca vulgara. Nu este exclus ca leacurile babesti sa se refere la tataneasa, rostopasca, iod concentrat, aspirina dizolvata sau aplicatii cu lamaie, insa acestea produc arsuri locale pe un tegument deja afectat, si pot duce la complicatii grave.
Singurele tratamente naturiste care pot fi folosite au ca tinta inflamatia si durerea. Impotriva inflamatiei se poate folosi ceaiul de musetel, recamondandu-se consumul a 4 cani pe zi, iar pliculetele folosite pot fi aplicate pe mont pentru o actiune locala. Pentru durere se pot folosi unguente cu capsaicina, pentru aplicare locala, sau se poate mari consumul de turmeric in alimentatie pana la 6-8 lingurite zilnic - o tinta greu de atins.
Cum previi aparitia monturilor
Monturile nu pot fi prevenite, mai ales daca au o cauza anatomica, insa o incaltaminte adecvata, care sa pastreze sau sa sustina pozitia corecta a piciorului este recomandata. Pantofii cu toc ar trebui folositi rar, din cauza presiunii crescute pe care o pun la nivelul varfului talpii. Trebuie evitati si pantofii cu varf ascutit, care obliga degetele sa adopte o pozitie nenaturala si care, in timp, pot duce la deformari articulare insotite de dureri si protuberante osoase.

Se recomanda trecerea de la sporturi care pun presiune crescuta la nivelul talpii, cum este joggingul, la inot sau la mersul pe bicicleta.
Asadar, daca ai monturi tine minte riscul deformarilor dar si accentuarea durerii care poate produce un mers dificil si la ingreunarea activitatilor cotidiene. Este indicat sa fii consultata de un medic ortoped si pana la momentul tratamentului chirurgical, sa alegi incaltaminte comoda, si sa eviti statul in picioare sau mersul pe jos exagerat.
Vezi si
Ceai de coacăz negru: beneficii și recomandări
Raluca Margean |
Miercuri, 27.03.2013
Medicamente expirate: ce faci cu ele
Raluca Margean |
Miercuri, 27.03.2013
Ți-e teamă de alegeri? Cele mai bune metode ca să gestionezi anxietatea electorală
Andreea Baluteanu |
Miercuri, 27.03.2013
